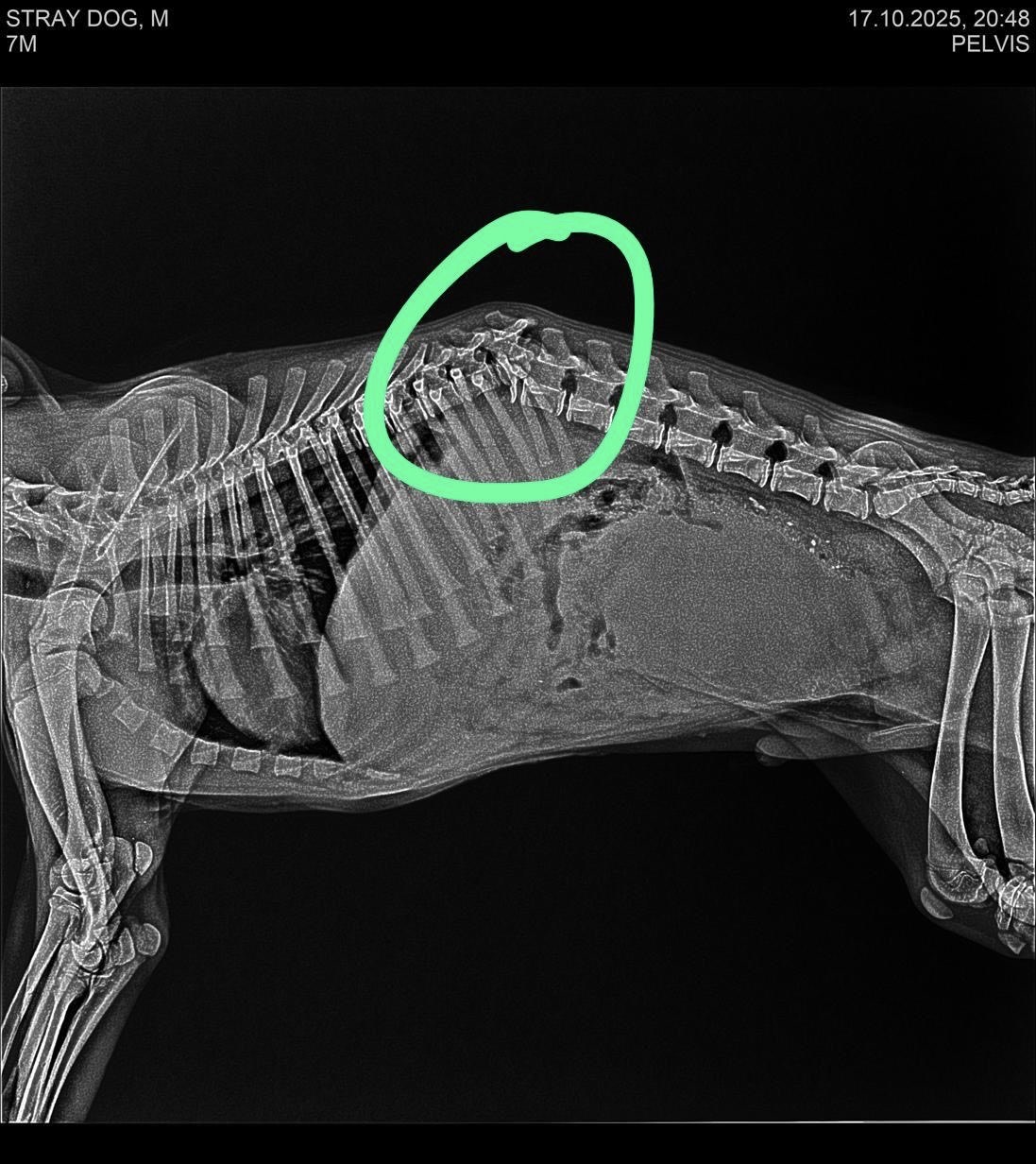
Tommy was found lying completely still by the roadside, unable to move his hind legs. Local residents contacted a nearby NGO, who took him for X-rays that revealed a spinal fracture. He needed immediate specialist care, but the NGO was short on resources. Late that night, they reached out to us, and Tommy was brought to our centre.

The next morning, we rushed him to Bangalore for a CT scan. The results gave us hope — his spinal cord isn't completely damaged. He could recover. He could walk again. But only with immediate spinal surgery.

Tommy underwent the surgery successfully. The total medical expenses came to ₹80,000. The NGO that sent him contributed ₹25,000 toward his care. Today, the doctors report that his nervous response is good — a promising sign. With extensive physiotherapy, Tommy has a real chance of walking again.

We're raising ₹55,000 to cover the remaining surgical expenses. Every rupee will go directly toward giving this young pup the second chance he deserves.

Tommy's rescue is part of our broader mission at Paws in Wayanad Animal Sanctuary Foundation. We're working to bring lasting change to Kerala's poorest district, which desperately lacks veterinary care. Life-saving rescues, preventative care, vaccination programmes, and spay-neutering camps are just a few ways we're building toward Wayanad's first 24/7 clinic and dog haven.
Your donation will help Tommy take his first steps toward a new future, and support our efforts to ensure that Wayanad's neglected animals receive the care they urgently need.
Follow our work on our website, Instagram, LinkedIn, or Facebook!

* Receive tax benefits by donating to this cause
* If possible, please consider providing your name with the donation as anonymous donations are taxed at a higher rate - Thanks!