Help Tinotenda Fight Brain Tumor | Milaap
Help Tinotenda Fight Brain Tumor
0%
Be the first one to donate
Need $39,000
  • Tendai

    Created by

    Tendai Nyakura
  • T

    This fundraiser will benefit

    Tinotenda

    from Bengaluru (Bangalore) Rural, Karnataka

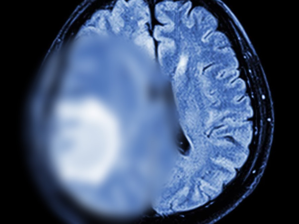
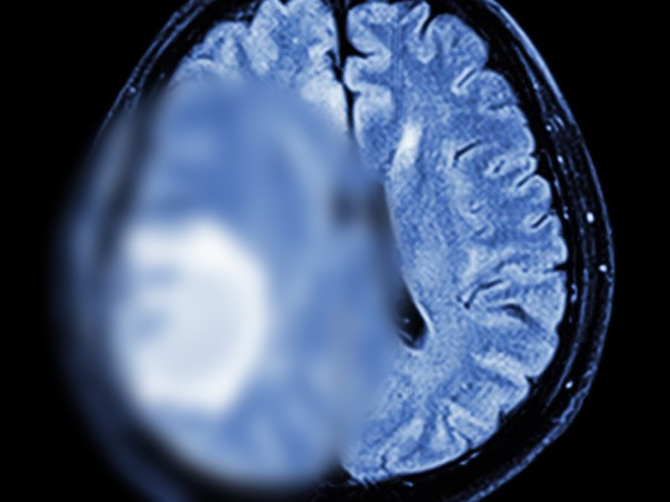
Tinotenda complained a lot about headaches. At first everyone thought it was migraine headaches, she would just be given some strong  pain blocks, until one day it got so severe that she fell. she cried endlessly and complained over the excruciating pain and she could vomit on several occasions. Her first visit to the doctor was just as normal,she was administered some medication. The visits to the doc became so frequent and it became worrisome to the family. On the 5th visit, the doctor suggested an MRI which finally revealed a highly aggressive brain tumor. A surgery has been suggested and we would appreciate your donation to help my cousin.

Read More

Know someone in need of funds? Refer to us
support