Rapeti Surya Prem is 24years old IT professional working in No 1 MNC in india and is residing in Visakhapatnam.He is known to be very lively and over active man with always a welcoming
smile on his face.Prem has genuinely reached out to help people who needed his help. But today, destiny is showing the other face of the coin. We thought the rain and changing weather gave him a fever. He used to rub his itching’s so badly all over the night.Upon continuous consultations with Skin specialists, he has undergone with general medication but then his body started responding in a different way.
smile on his face.Prem has genuinely reached out to help people who needed his help. But today, destiny is showing the other face of the coin. We thought the rain and changing weather gave him a fever. He used to rub his itching’s so badly all over the night.Upon continuous consultations with Skin specialists, he has undergone with general medication but then his body started responding in a different way.
It was Dec 31st 2018, everyone is in a positive mood to welcome the New year
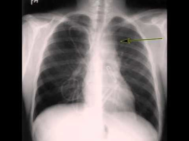
with all the new Hopes and Desires. But on the same day, Prem diagnosed with Hodgkin Lymphoma Stage(1V) Cancer but then he is fighting for his life by accumulating all his confidence, courage, strength and positivity. He is being treated till date and has undergone a chemotherapy for 3 tumors’ (Neck, Lung and Liver) from past 8 months. Current medication has no luck and indeed the tumor sizes have been increasing drastically in Lungs and Liver. Hence, doctors have suggested to go with higher treatment that includes Brentuximab-12 vials and Bone Marrow transplantation. A-Vial of Brentuximab itself costs around 1.5 lakhs. This treatment is not being covered by Health Insurance Scheme. Therefore, it would be helpful if you can contribute some amounts which helps in Prem's treatment and save him from cancer and can lead a normal life again.
Request you all to come forward and please help him. Any contribution will immensely help him a lot. I urgently need your support. I urge you to share this campaign link with your friends and family as much as possible. Enclosed all the Biopsy reports, PET CT reports and the X-Ray reports.