Emergency Surgery Needed for Stray Cat With Diaphragmatic | Milaap
Emergency Surgery Needed for Stray Cat With Diaphragmatic Hernia
  • Anonymous

    Created by

    faraz
  • SC

    This fundraiser will benefit

    Stray Cat

    from Bengaluru, Karnataka

On 24th January 2026, a stray cat I occasionally feed came to my apartment in a critical condition.

He is not a pet and was never very friendly. He is an occasional visitor to my building, I would leave food for him, he would eat, and quietly walk away. He never allowed anyone to touch him.

Yesterday, however, he came and sat at the exact spot where I usually feed him, something he had never done before.
He was extremely weak, visibly underweight, struggling to breathe, and barely able to eat. Unlike before, he didn’t walk away. It felt like he came back because he had no strength left.

I rushed him immediately to Cessna Lifeline Veterinary Hospital, Bengaluru for emergency treatment.

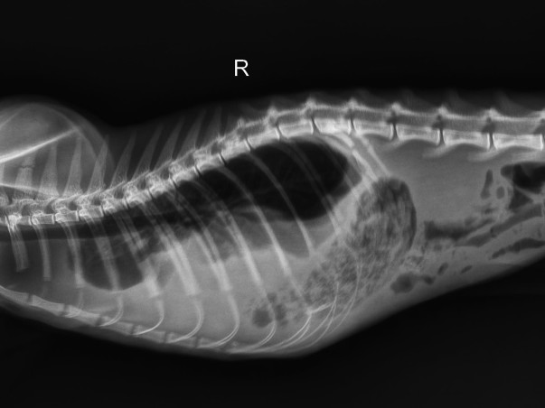
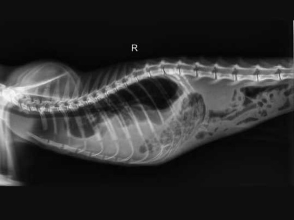
🏥 Confirmed Diagnosis
After emergency examination, blood tests, X-rays, ultrasound scans, and further imaging at Cessna Lifeline Veterinary Hospital, the doctors have confirmed that he is suffering from a diaphragmatic hernia.

A diaphragmatic hernia is a life-threatening condition where the muscle separating the chest and abdomen tears, usually due to trauma such as a fall or road accident. Because of this tear, abdominal organs move into the chest cavity and compress the lungs, making breathing extremely difficult.

This condition cannot heal on its own.
➡ Urgent surgery is the only life-saving solution.

🩺 Current Condition & Urgency
At admission:
  • His blood pressure was critically low
  • He had severe breathing difficulty
  • He was extremely weak and dehydrated
He was immediately admitted and stabilised. He is currently under continuous monitoring and receiving:
  • IV fluids and medications
  • Oxygen and respiratory support
  • Pain management and antibiotics
The doctors have advised that the surgery needs to be done immediately to save his life. I can wait for a maximum of 24 hours before proceeding.

The vet has assured that if the surgery is successful, he can go on to live a completely healthy and normal life.

💸 Cost of Surgery & Post-Operative Care
The estimate provided by Cessna Lifeline Veterinary Hospital for the surgery and 2 days of hospitalisation is approximately ₹84,000.
However, he will also require:
  • Continued medications
  • Follow-up care
  • Post-operative monitoring and recovery support for several days after discharge
These post-op costs are not included in the estimate.
Additionally, I have already spent around ₹10,000 on emergency consultations, diagnostics, stabilisation, and medications — which is also not included in the hospital estimate.

🤍 Why I Am Asking for Help
I already have 4 cats at home, all of whom I care for fully. I am doing everything I possibly can to help this cat as well.
I will definitely contribute as much as I can, but I cannot afford such a large emergency medical expense on my own.
He is a stray cat with no one responsible for his care, and yet he came back to the one place where someone had been kind to him.

Without surgery, he will not survive.
🙏 How You Can Help
  • Donate any amount you can
  • Share this fundraiser with others
Any help at all will allow me to immediately proceed with the surgery and give him the chance he deserves.

🐾 A Small Life That Chose to Trust
He wasn’t friendly. He wasn’t dependent on humans.
But when he had no strength left, he came back to the only place where he had known kindness.

Please help me save his life.
Thank you for your compassion and support.

Read More

Know someone in need of funds? Refer to us
support