10-year-old Shivani is born with a deformed spine for which she has to undergo a major surgery to avoid paralysis in future.

We thought she is short because of her genes but it turned to be a spinal deformity
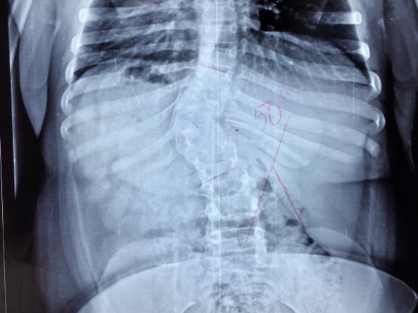
Life was very normal for Shivani except for the fact that her growth was not proper. Her parents didn’t bother about her height much thinking, it will be fine as she grows up. It was only when the younger brother grew taller than her, the parents realised that there is something wrong with her. Shivani was taken to a local hospital where they got the shock of her life. An MRI report revealed Shivani was suffering from a severe spinal cord deformity. According to doctors, Shivani has to undergo a corrective surgery or else her arm and limbs will be paralysed.

The family cannot afford the surgery needed to save Shivani from paralysis
Shivani’s father works as a warehouse in-charge with a monthly salary of Rs.15000. He has to take care of his two children, handicapped mother and an unemployed brother. His wife works as a maid to help him manage family expenses. It is impossible for them to arrange for her surgery. Shivani’s parents have no other option but to see their daughter’s condition becoming worse every day. She still manages to go to school and continue her studies even though little things like lifting her own school bag hurts her a lot.
"What has happened to me Appa? Why do we have to visit the hospital so many times? Are they going to do something to me?"
Her father has no answer to these questions of Shivani. He has to lie to her daughter saying that she just has a fever and she will be fine very soon.

You are the only hope for a father to save her child
I don’t know if she believes me anymore. I am scared what will happen if she gets to know the truth. She is so scared of petty injections, how will she react when she gets to know she can be paralysed if the treatment is not done on time.
It is heartbreaking for the parents to see Shivani struggle too hard in life at such a tender age. They want to save her from getting paralysed but they need Rs.4lakhs for the surgery. It is way beyond the capacity of the family. Her parents dream of giving her a normal life but without your help, they can never make that dream a reality. You are the only ray of hope for this little girl.

How You Can Help
Shivani is in a lot of pain. She is in a mental turmoil as well. People around mocking her because of her deformed back. Your help can save this little girl from getting paralysed. Your contribution can help Shivani undergo the corrective surgery and get back to normal life.